
Thao
Adult / Lower Back Pain / Neck Pain / Wellness
Thao began her journey with Maximize Chiropractic back in 2016. When she first came to us, she was struggling with persistent sciatica pain and neck discomfort. As a dedicated manicurist for many years, her work required long hours in a forward-leaning position, creating constant strain in her neck, shoulders, and lower back. To manage the pain, she often relied on Flexeril, though it only provided temporary relief.
After just a few months of consistent chiropractic care, Thao experienced meaningful improvements across all of her initial concerns. Her sciatica pain decreased, her neck mobility improved, and she felt more balanced and comfortable throughout her workday. One of her biggest achievements was being able to stop taking pain medications altogether, as her body began functioning and healing more naturally.
Today, Thao maintains her progress through her weekly wellness adjustments, staying proactive about her health and preventing old issues from returning.
Thao, thank you for trusting us with your care. Weβre grateful to be part of your long-term wellness journey! π
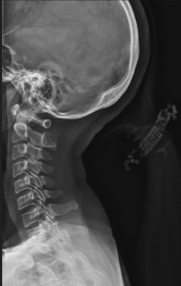
Pre Scan
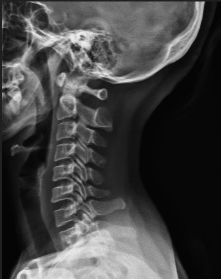
Post Scan
