
Morag
Adult / Lower Back Pain / Wellness
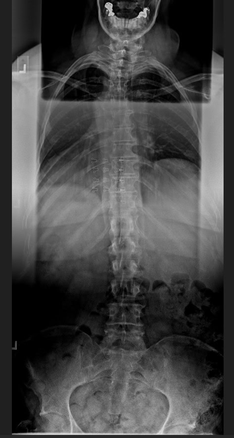
Morag began her journey with Maximize Chiropractic back in 2019. As a dedicated registered nurse, her work often involves long hours on her feet and physically demanding tasks, which contributed to back pain, muscle spasms, and knee problems.
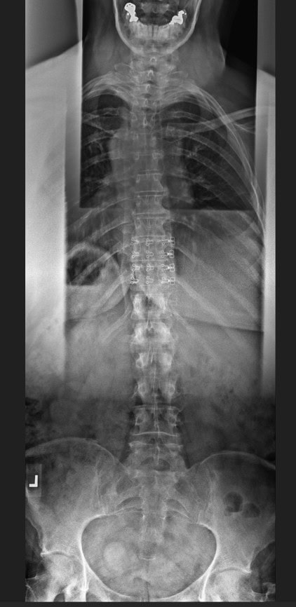
After a few months of consistent chiropractic care, Morag began noticing significant improvements. Her mobility increased, her body felt more flexible and balanced, and daily activities became much more comfortable.
Morag has now transitioned into our wellness care program, maintaining her progress and supporting her long-term health.
Thank you, Morag, for allowing us to be part of your health journey! 💛
Pre Scan
Post Scan
