
Mariano
Epilepsy, ADHD, Sleep Issues, Reflux / Teenage
Mariano was referred to us by his mom, who is also a patient at Maximize Chiropractic. His health history includes a diagnosis of ADHD, epilepsy, and reflux, and he was also born via a scheduled C-section at 39 weeks. When his mom brought him in, she hoped chiropractic care could help support his overall comfort, posture, and daily regulation.
After a few months of gentle and consistent care, Mariano’s mom noticed encouraging changes in his day-to-day life. He appeared more in tune with his body, showed better emotional regulation, and carried himself with improved balance and coordination. These shifts have helped him feel more grounded and supported throughout his routine.
Mariano has now transitioned into our wellness care, where he continues to maintain his progress and build healthy habits for the long term.
We’re grateful to be part of your wellness journey, Mariano! 💛
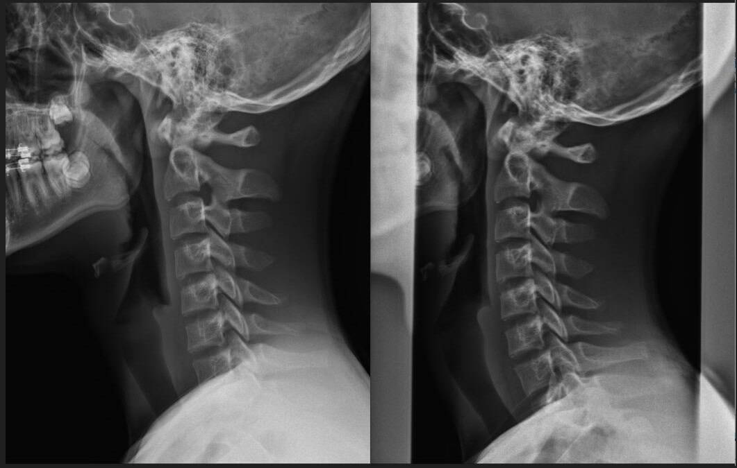
Pre & Post Scan
