
Inna
Lower back pain/ Neck pain/ Posture/ Headaches/ Wellness
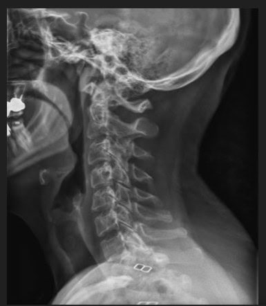
Inna began her care with us about a year ago, seeking relief from a variety of symptoms that were affecting her daily comfort and overall well-being. She was experiencing persistent back pain, neck stiffness, and poor posture—largely due to lifting heavy objects and spending long periods of time on her feet. Along with the physical strain, she also dealt with anxiety, low energy, vertigo related to postpartum, and tension headaches occurring at least once a month. Inna had also been diagnosed with scoliosis 10 years prior, which added another layer to her discomfort.
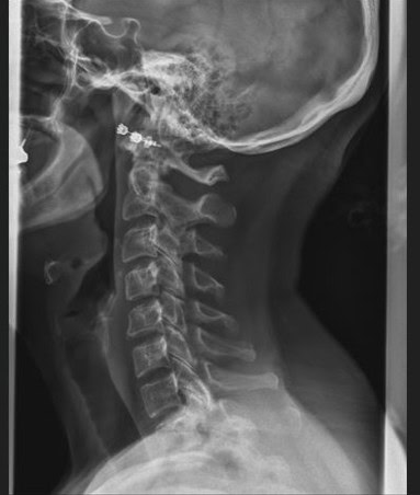
After just a couple of months of consistent chiropractic care, Inna began to notice improvements across the board. Her posture improved, her flexibility increased, and she experienced relief from many of the symptoms that once held her back. She felt more balanced, more energized, and more capable of managing her day-to-day activities with ease.
Inna has now transitioned into our wellness care program, continuing her healing journey alongside her family and maintaining the progress she’s worked so hard to achieve.
We’re grateful to take care of you, Inna, and to support your family’s wellness journey! 💛
Pre Scan
Post Scan
